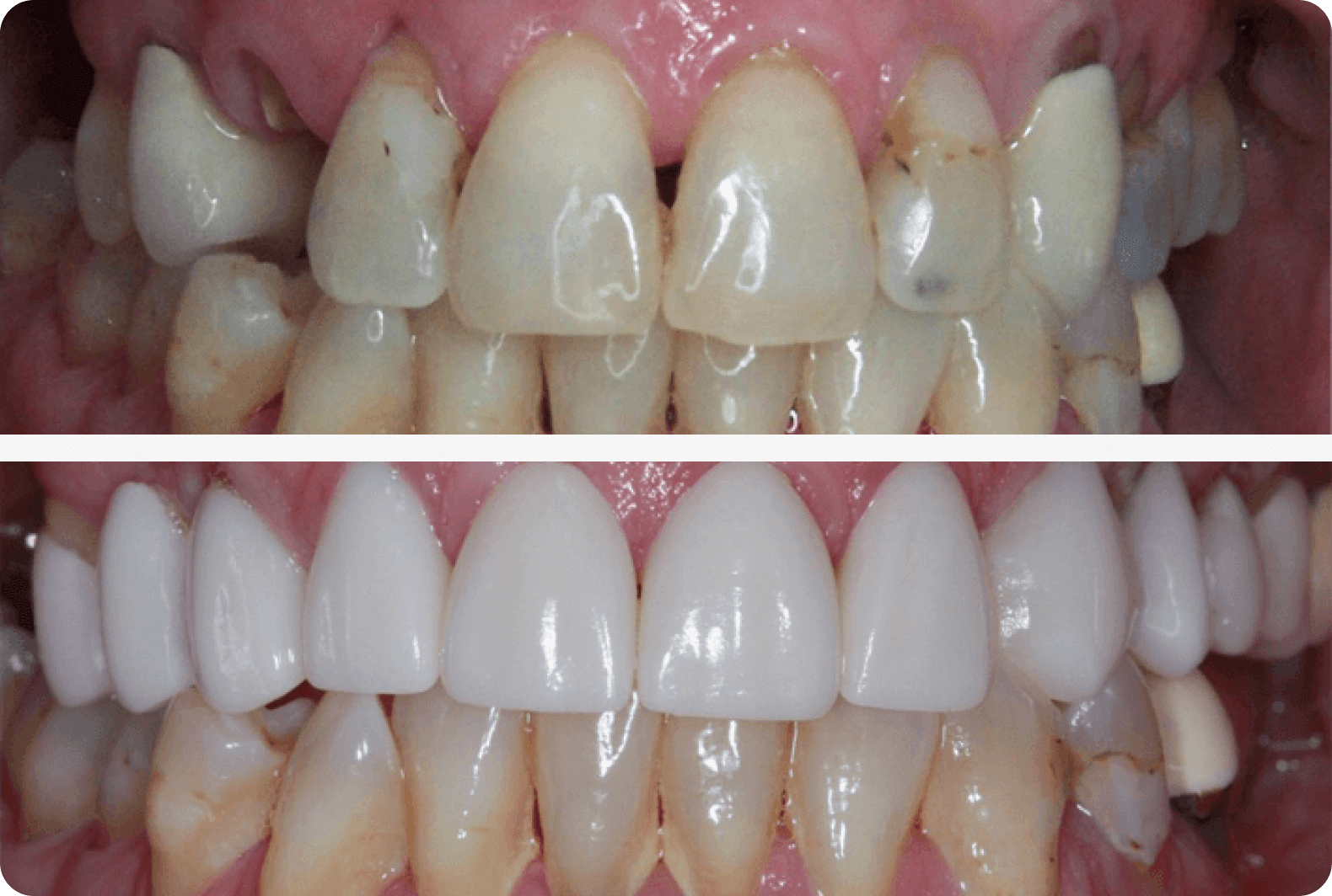
Met CEREC-technologie ontwerpen en vervaardigen wij volledig keramische bruggen in één enkele afspraak. Dankzij digitale 3D-scans, nauwkeurige vormgeving en directe productie in onze eigen kliniek ontvangt u een duurzame en esthetisch verfijnde restauratie, zonder wachttijden bij een extern tandtechnisch laboratorium. Het resultaat: snelheid, precisie en een natuurlijke harmonie met uw eigen gebit.
Een CEREC-brug biedt het gemak van een permanente oplossing op dezelfde dag. De brug bestaat uit twee zorgvuldig voorbereide pijlers met daartussen een natuurgetrouwe porseleinen tussentand (pontic) die het ontbrekende element vervangt. Na exact passen, controleren we de beet en esthetiek, waarna de brug wordt vastgezet met hoogwaardige adhesieve cementen die perfect aansluiten bij uw natuurlijke tanden.
We beginnen met een digitale 3D-scan van uw gebit, volledig zonder traditionele afdrukmaterialen. De brug wordt vervolgens virtueel ontworpen, gefreesd uit hoogwaardig keramiek en direct gepast. Met plaatselijke verdoving prepareren we de pijlers zo minimaal mogelijk, zodat functie, stabiliteit en esthetiek optimaal blijven. Een CEREC-brug in één zitting is een uitstekende oplossing voor het herstellen van een open ruimte door een ontbrekende tand of kies.
CEREC-bruggen van volledig porselein bieden: een natuurlijke tandkleurige translucentie, hoge slijtvastheid, metaalvrije esthetiek en perfecte integratie met de omliggende tanden. Wanneer de kauwkracht zeer hoog is of de positie dit vraagt, kunnen alternatieven zoals zirkonia of metaal-porselein (PFM) worden overwogen. Samen bepalen we welk materiaal het beste past bij uw situatie en esthetische wensen.
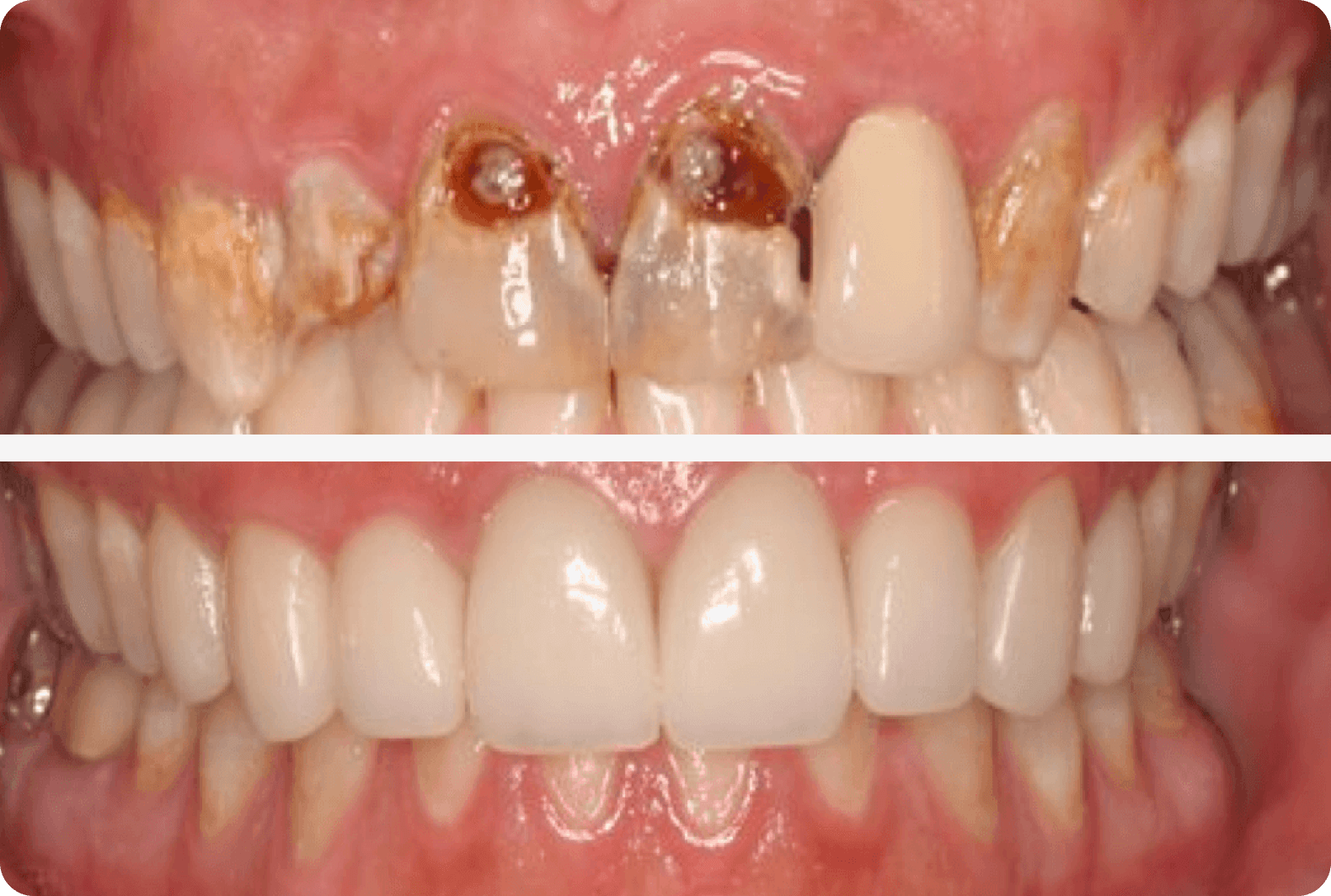
Een brug is een vaste en duurzame oplossing wanneer één of meerdere tanden ontbreken en u geen uitneembare voorziening wenst. Vooraf beoordelen wij of aanvullende behandelingen nodig zijn, zoals een wortelkanaalbehandeling, een opbouw of een tandvleesbehandeling. Tijdens de eerste afspraak bespreken we de behandelmogelijkheden, de materiaalkeuze en esthetiek, de verwachte kosten en eventuele vergoeding vanuit een aanvullende tandartsverzekering.

