Met CEREC realiseren we porseleinen facings in één behandeling, snel, precies en kleurgepast bij uw eigen tanden. Een facing is een dun schildje van keramiek (porselein) dat op de voorkant van de tand wordt aangebracht voor een natuurlijk uiterlijk en een stralende glimlach.
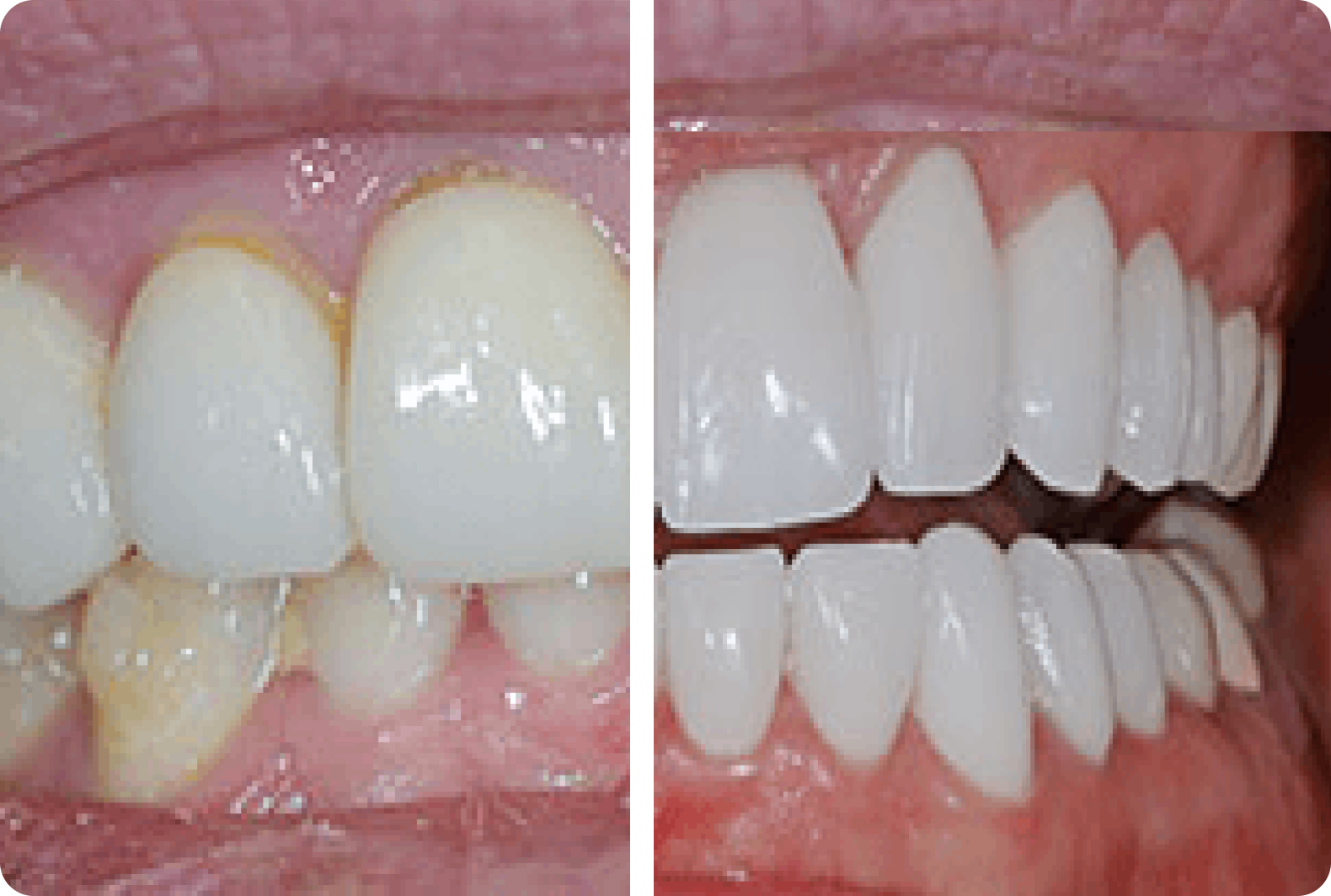
Een facing corrigeert verkleurde tanden, afgebroken hoekjes en spleetjes en kan scheve tanden verbergen. We kunnen tanden opvullen en tanden opvullen afgebroken hoekjes subtiel repareren voor het gewenste resultaat in gewenste vorm en grootte, vaak binnen enkele uren.
Met CEREC maken we een afdruk via digitale scan (geen “happen”), ontwerpen we uw porseleinen facing en frezen we direct in de praktijk. Kleur en gewenste vorm stemmen we samen af, zodat de facing goed bij omliggende tanden en tandvlees past.
Porselein is kleurvast en slijtvast en geeft een natuurgetrouwe glans. Voor voortanden zorgt een porseleinen facing vaak voor het meest stabiele esthetische resultaat; bij beperkte aanpassing kan een composiet facing volstaan.
Porseleinen facings (CEREC, in één afspraak) bieden maximale esthetiek en duurzaamheid; facings van composiet (facing van composiet) zijn betaalbaar en direct te aangebracht, maar kunnen extra onderhoud nodig hebben en verkleuren sneller. Samen kiezen we het type facing dat bij uw situatie past.
Facings zijn een goede oplossing bij verkleuring, afgebroken tanden, afgebroken hoekjes repareren, scheve tanden/maken en scheve tanden optisch corrigeren, wit maken/wit maken en scheve, spleetjes sluiten en beschadigde tanden maskeren. Ook als tanden erg verschillen in vorm kunnen we het gewenste resultaat bereiken.
Kosten facings verschillen per materiaal en aantal. We bespreken vooraf wat de behandeling gaat kosten; soms biedt een aanvullende tandartsverzekering (gedeeltelijke) dekking. U ontvangt altijd een duidelijke begroting.
Bij uitgebreide schade kan een kroon geschikter zijn; ontbreekt een element, dan zijn implantaten of bruggen een optie. Waar mogelijk kiezen we eerst de minst invasieve behandeling.
Traditionele porseleinen facings worden in een tandtechnisch laboratorium gemaakt; zo’n traject vraagt minstens twee bezoeken. De tandarts nodig en de tandtechnicus stemmen kleur, vorm en beet af; bij CEREC doen we dit direct in de stoel, zónder tandtechnisch laboratorium. Soms kiezen we, afhankelijk van de casus, alsnog voor het tandtechnisch laboratorium.
We slijpen altijd zo minimaal mogelijk; het slijpen is gericht op behoud van glazuur en gecontroleerd slijpen van alleen het noodzakelijke oppervlak. Daarna etsen en hechten we met behulp van moderne adhesieven voor voorspelbare retentie. Porseleinen facings maskeren verkleurde tanden duurzaam en sluiten esthetisch aan op de buur-elementen.
Bij complex herstel of hoge esthetische eisen is de tandarts nodig voor diagnose, planning en de keuze of een mock-up door het tandtechnisch laboratorium gemaakt moet worden; in sommige gevallen is aanvullend werk in het tandtechnisch laboratorium gewenst voor finetuning.

