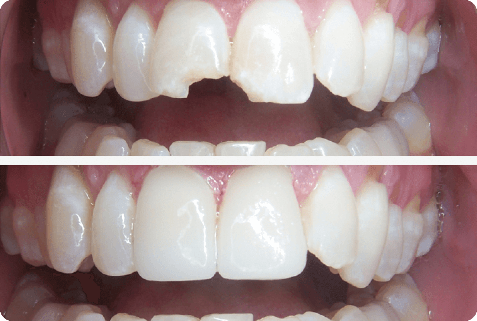
Bij Tandartsenpraktijk Rembrandt werken we met Cerec. Dat is een modern systeem waarmee we gedurende één bezoek zelf een (gedeeltelijke) kroon kunnen maken in de kleur van uw eigen tanden.Bij Tandartspraktijk Rembrandt werken we met CEREC: een modern CAD/CAM-systeem waarmee we in één afspraak een (gedeeltelijke) kroon in de kleur van uw eigen tanden ontwerpen en frezen. Zo krijgt u een definitieve kroon terwijl u wacht, zonder langdurige tijdelijke kroon
Een kroon plaatsen terwijl u wacht is bij ons mogelijk. Met de CEREC-methode ontwerpen we digitaal en frezen we direct een kroon van keramiek. U hoeft geen weken met een tijdelijke kroon te lopen: de kroon is binnen één dag klaar, in de kleur van uw eigen tanden en passend bij de oorspronkelijke vorm van de tand of kies. Keramiek is duurzaam en weert zichtbare metaal. Voor een natuurlijke, tandkleurige uitstraling.
Naast kronen en bruggen met CEREC adviseren we ook over een tandheelkundige brug wanneer meerdere ontbrekende tanden of een open ruimte moet worden overbrugd. Een gewone brug gebruikt bestaande tanden als pijlers; een vrij eindigende brug ondersteunt een kiese mist aan één zijde. Een brug bestaat uit kronen met een tussendeel; de brug zit vast/brug vast met speciale lijm en biedt een duurzame vervanging.
Voor een volledig overzicht kunt u terecht op onze pagina over CEREC-bruggen.
Met CEREC scannen we uw tand of kies digitaal, afdruk maken met een rubberachtige massa of tandtechnisch laboratorium gips is niet meer nodig. De afdruk gebeurt met camera en 3D-software; daarna frezen we de kroon direct. U krijgt in één behandeling een definitieve kroon die in uw mond past.
In vergelijking met de klassieke route (happen, tijdelijke kroon met snelhardend cement, laatste afspraak waarin de kroon past) biedt CEREC snelheid, precisie en comfort. We behandelen tanden beschadigd, gevulde of aangetaste elementen en herstellen zo de oorspronkelijke vorm.
CEREC-keramiek levert een tandkleurige buitenlaag zonder zichtbare metaal. Klassiek kan een kroon/brug ook metaal gemaakt zijn (bijv. zilverkleurige goudlegering) met tandkleurig porselein aangebracht. Met CEREC kiezen we voor een volledig keramische restauratie, een natuurlijke look die het gebit kan verbeteren.
Dankzij digitaal ontwerp en directe productie krijgt u snel een nauwkeurige kroon met goede pasvorm. De combinatie van snelheid en nauwkeurigheid maakt CEREC een duurzame vervanging die vele jaren meegaat, gemaakt in onze mond (chairside, niet buiten de praktijk) en niet afhankelijk van een extern tandtechnisch laboratorium.

